皆さん、こんにちは。宝塚まりも動物病院です。
4月になって暖かくなってきましたが、皆さんはいかがお過ごしでしょうか?
今回は、腎臓の病気についてお話しようと思います。

私の飼っている猫ちゃんで、推定4歳の保護猫です。
左の茶白の子が男の子の琥珀(こはく)くんで、右の三毛の子が女の子の潤(うるみ)ちゃんです。
子猫の時に竹藪の中にいた所を保護された猫ちゃん達です。
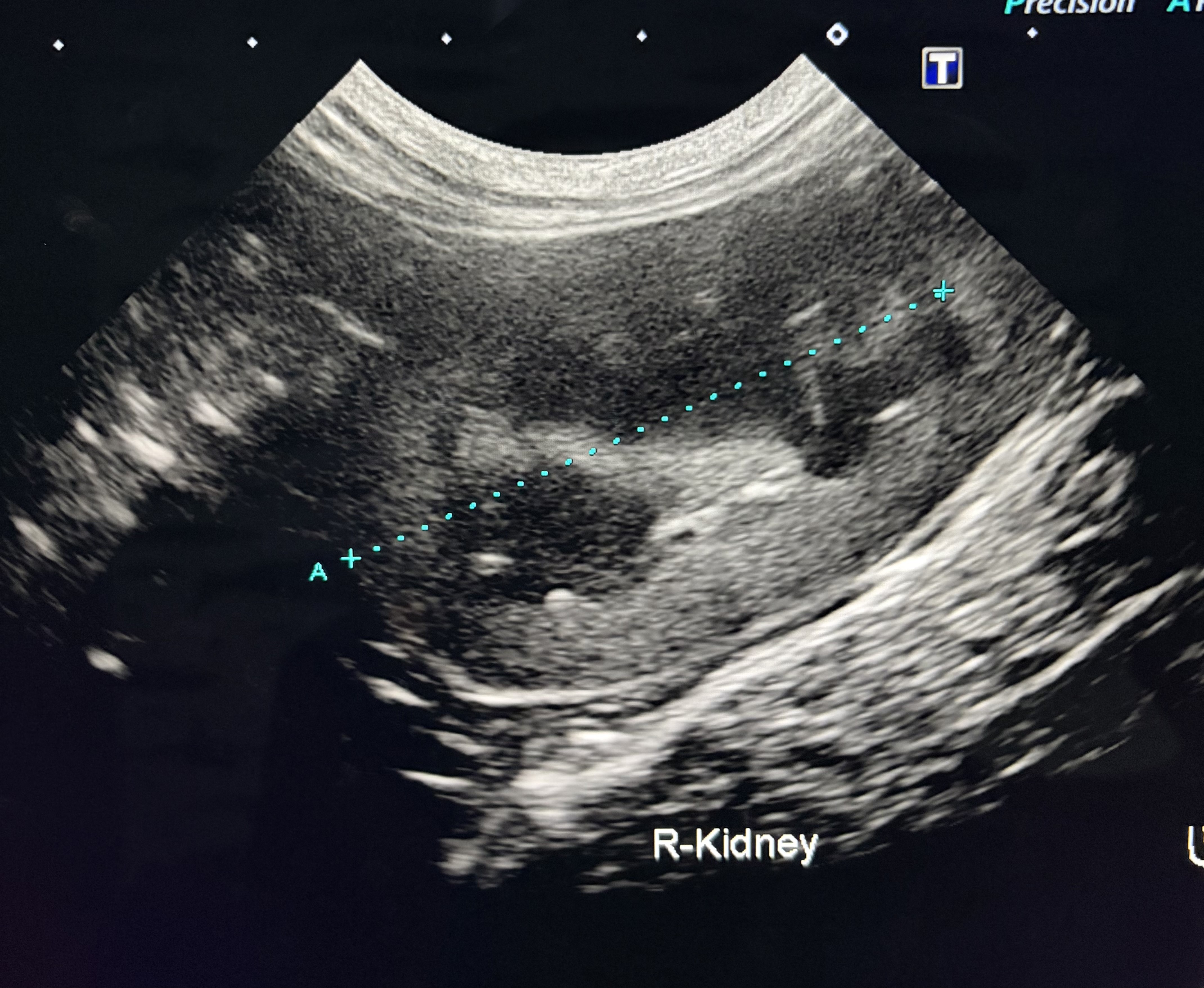
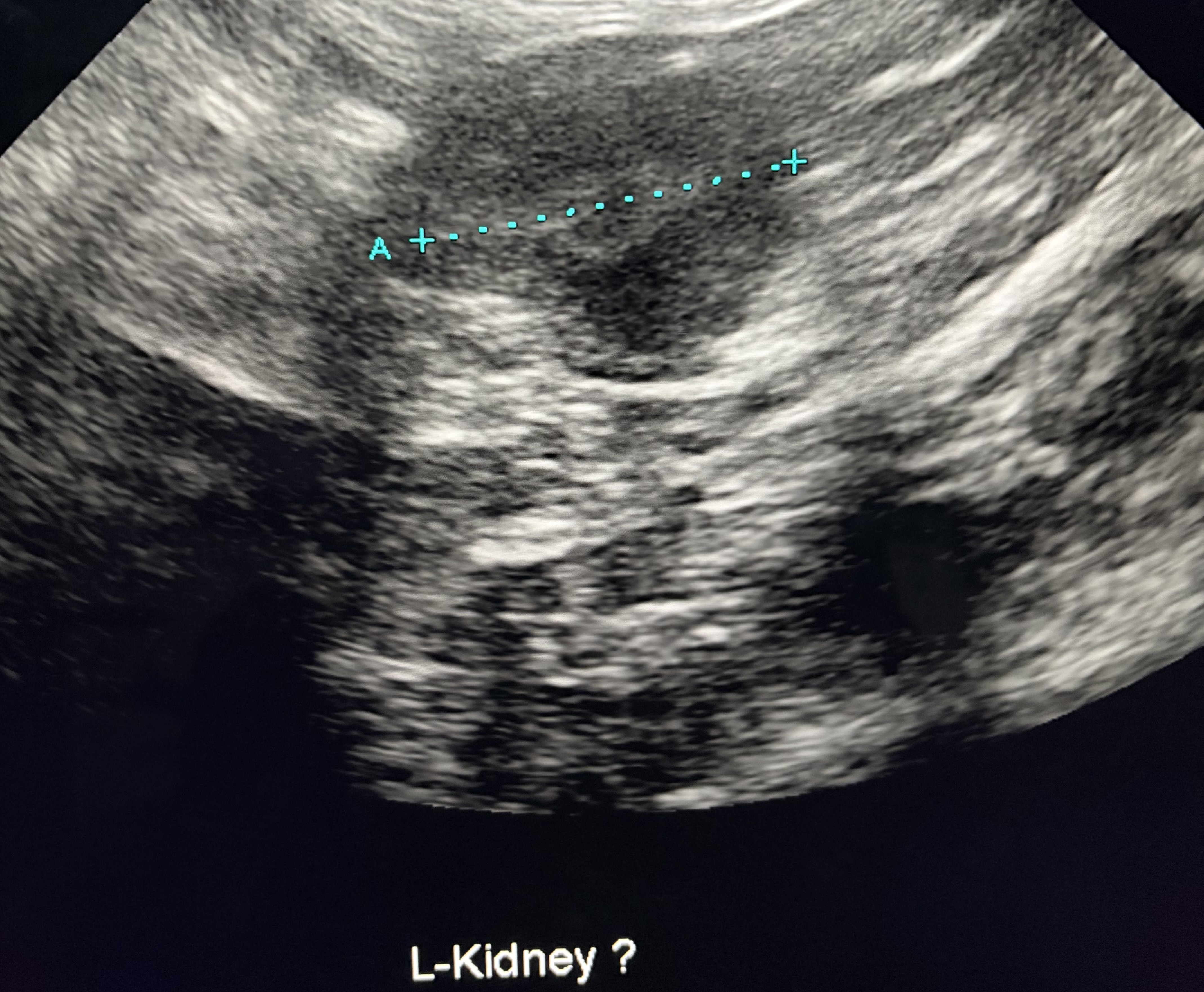
琥珀くんは身体的に特に問題はなかったですが、潤ちゃんは子猫の時の避妊手術の際に片方の子宮がなかったので、手術が終わってから腹部のエコー検査をした所、左側の腎臓が通常より小さかったです。
野良猫だと、親と血の繋がった兄弟と交配してしまったり、母猫の栄養不良により、内臓の一部が未形成のまま生まれてしまう事がごくまれにあります。
(例:横隔膜ヘルニア、口蓋裂など)
ここで、腎臓の機能についてお話しますが、
主な機能としては
・血液をろ過し、老廃物を体外へ除去する
・水分や電解質のバランスの維持
・骨代謝や造血および血圧の調節
があります。
特に猫ちゃんは、砂漠で生活していた祖先の性質から、尿を凝縮する能力が高い一方で、腎臓に負担がかかりやすく、高齢になると非常に高い確率で腎臓の病気を発症しやすいと言われています。
腎臓の病気は、機能の約70%が失われるまで、目立った症状が出にくいのが特徴です。
主な症状としては、
・多飲多尿
お水を飲む量が増えて、色が薄い尿を沢山するようになります。
進行すると、食欲不振、体重減少、嘔吐、便秘などが現れます。
一度壊れた腎臓の組織は再生する事はありません。
その為に、定期健診による早期発見と進行を遅らせるケアが必要です。
・定期健診
血液検査:血中のクレアチニン、BUN(尿素窒素)、SDMA(早期腎臓病マーカー)
尿検査:尿の濃さ、たんぱくの有無
画像検査:レントゲン、腹部のエコー検査



画像は潤ちゃんの腎臓のエコーの画像です。(左が右側、右が左側の腎臓です)
以上の検査により、腎臓の機能を評価していきます。
腎臓の病気になった場合の治療は、主に病気の進行を遅らせる保存療法と症状を軽減する対処療法の2種類があります。
・点滴による輸液
通院による皮下点滴や、重度の場合、静脈からの輸液をします。
・腎臓病用の療養食
腎臓の機能に負担をかけないように配慮されたご飯を与えます。
・内服薬やサプリメント
進行に合わせての内服薬や必要によってはサプリメントを飲ませていきます。
・造血剤の投与
進行により、貧血になる事もある為、定期的に造血を促すホルモンのお薬を投与します。
琥珀くんと潤ちゃんは、現在、半年に一度の血液検査と、年に一度のレントゲン・腹部のエコーの画像検査と尿検査をしています。
現在は、2人とも体調は元気で、ご飯もすぐに完食してくれています。

ワンちゃんの場合、腎臓の病気を発症すると、猫ちゃんより進行の具合が早い為、若くて健康のうちに、定期的な健康診断をおすすめしております。
お家でできる事は、
・尿の色が薄く、尿の量が多くなっていないか?
・お水を飲む量が増えていないか?
・食欲の有無のチェック
・最近、体重が減っていないか?
を毎日観察する事をおすすめしております。




